Paula Doti y Delfina Cozzi

#
Ortodoncia
#
Prótesis
#
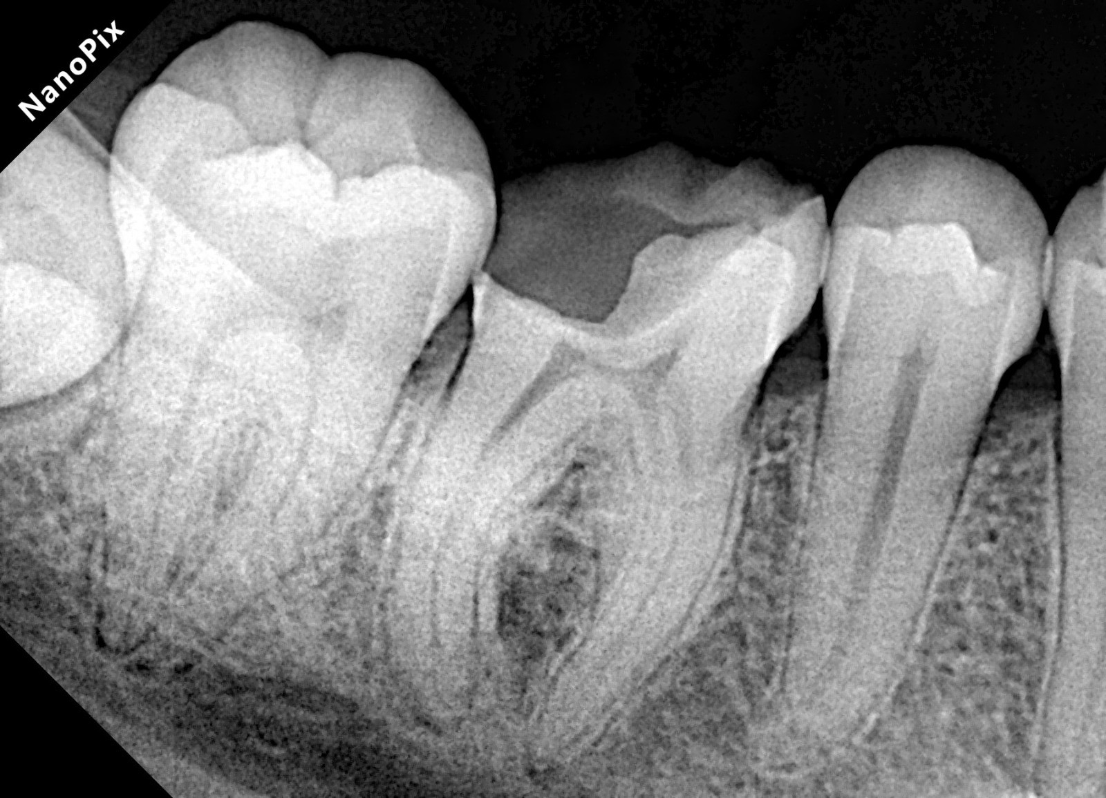
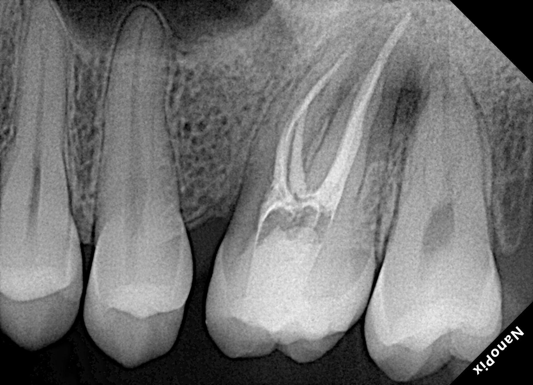
Endodoncia
#
Implantes
#
Odontología general
#
Blanqueamiento
#
Periodoncia
#
Apicectomia
Especialidades
Trabajamos con pacientes particulares y prepagas con modalidad de reintegro.
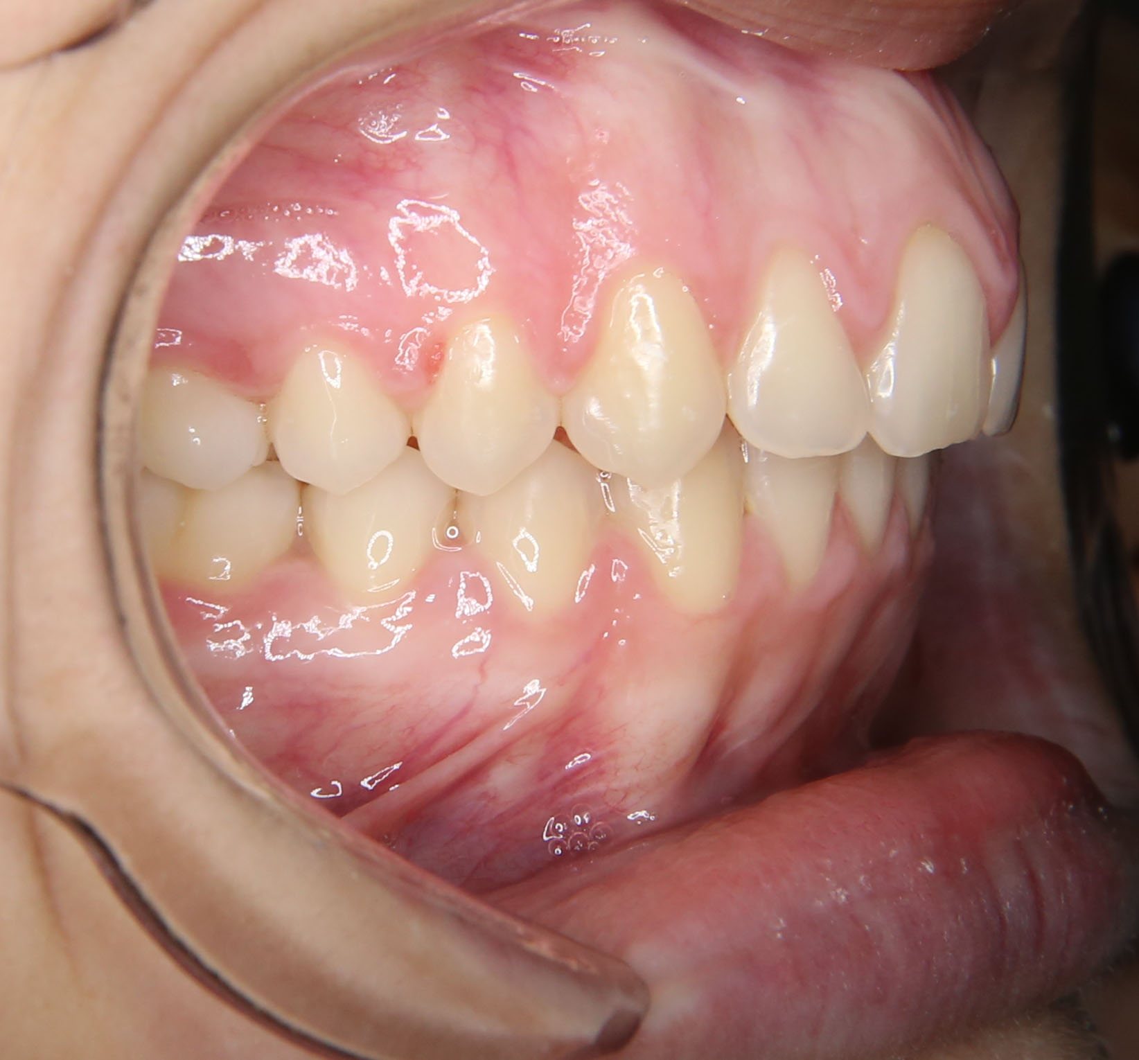
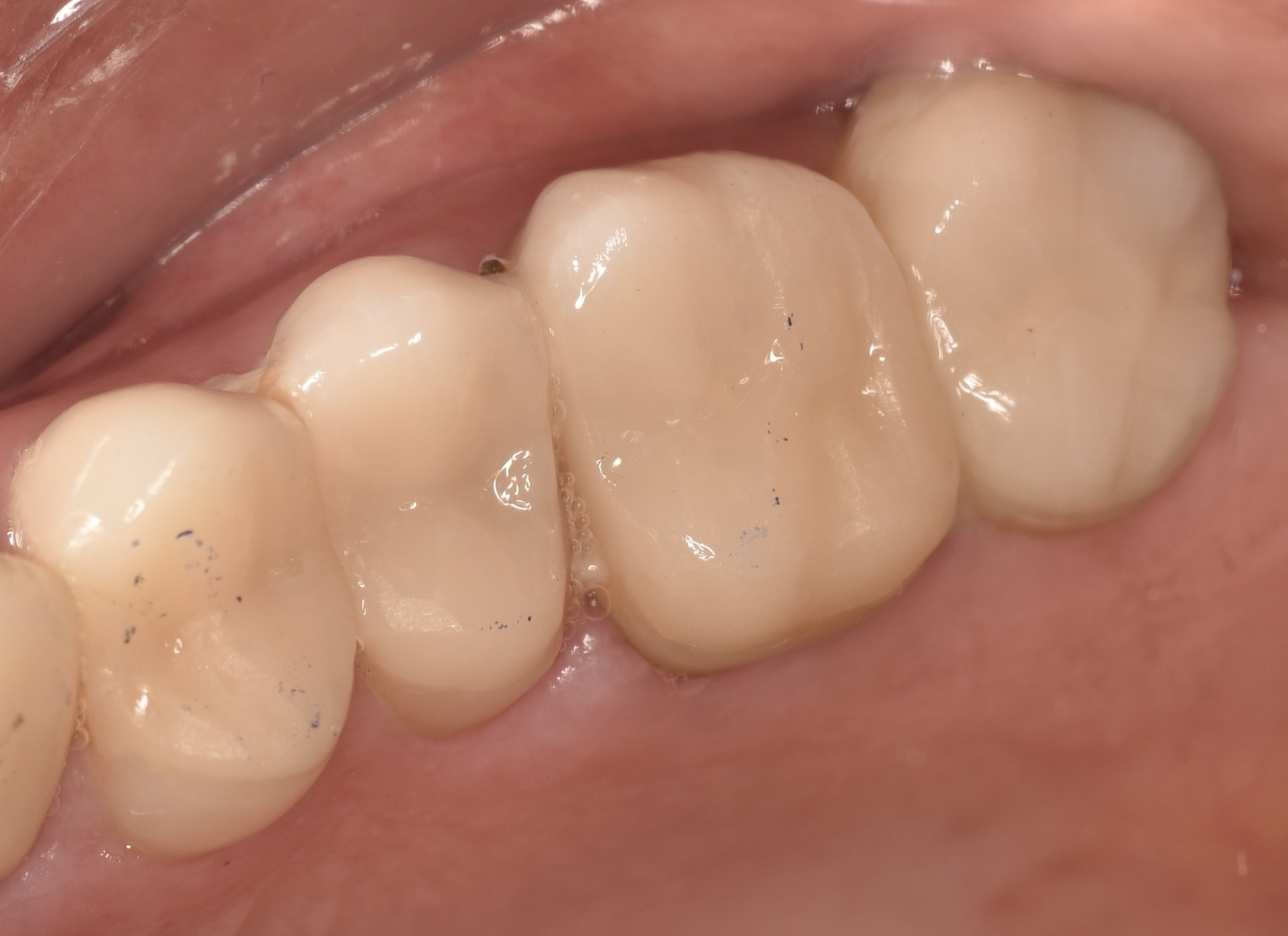
Ortodoncia
Alineación de las piezas dentarias, devolviendo función y estética.
Prótesis
Prótesis fija o removible sobre piezas dentarias o implantes.
Endodoncia
Tratamiento para eliminar la infección del interior del diente, aliviar el dolor y conservar la pieza dentaria dañada.
Implantes
Para reemplazar de forma permanente las piezas dentarias ausentes.
Odontología general
Atención integral enfocada en el control, prevención y cuidado de la salud bucal.
Periodoncia
Tratamiento de los tejidos que le dan soporte e inserción a la pieza dentaria.




Nuestro equipo
Contamos con dos consultorios totalmente equipados.
Trabajamos con pacientes particulares.
Prepagas con modalidad de reintegro.
Atención personalizada y de máxima calidad.
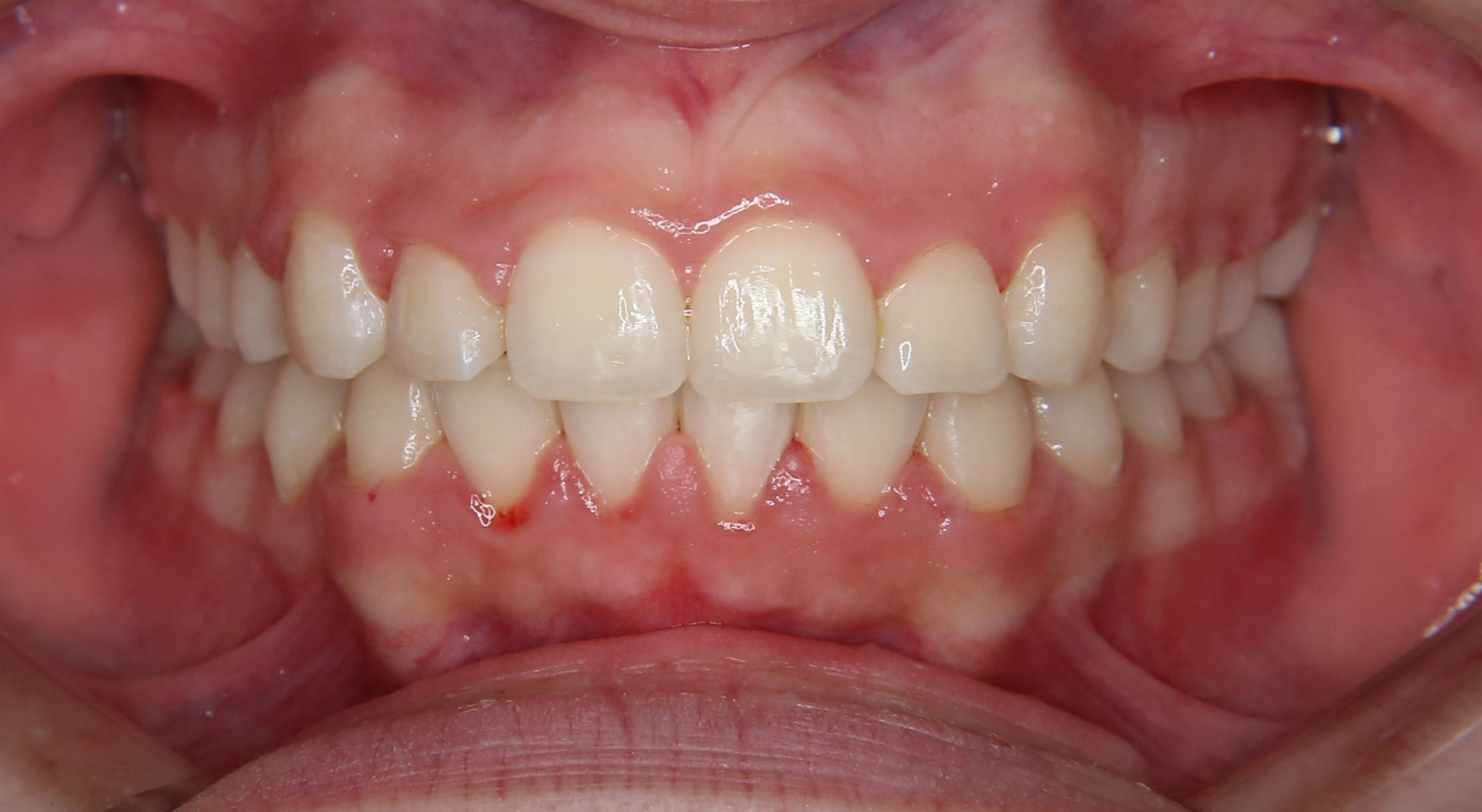
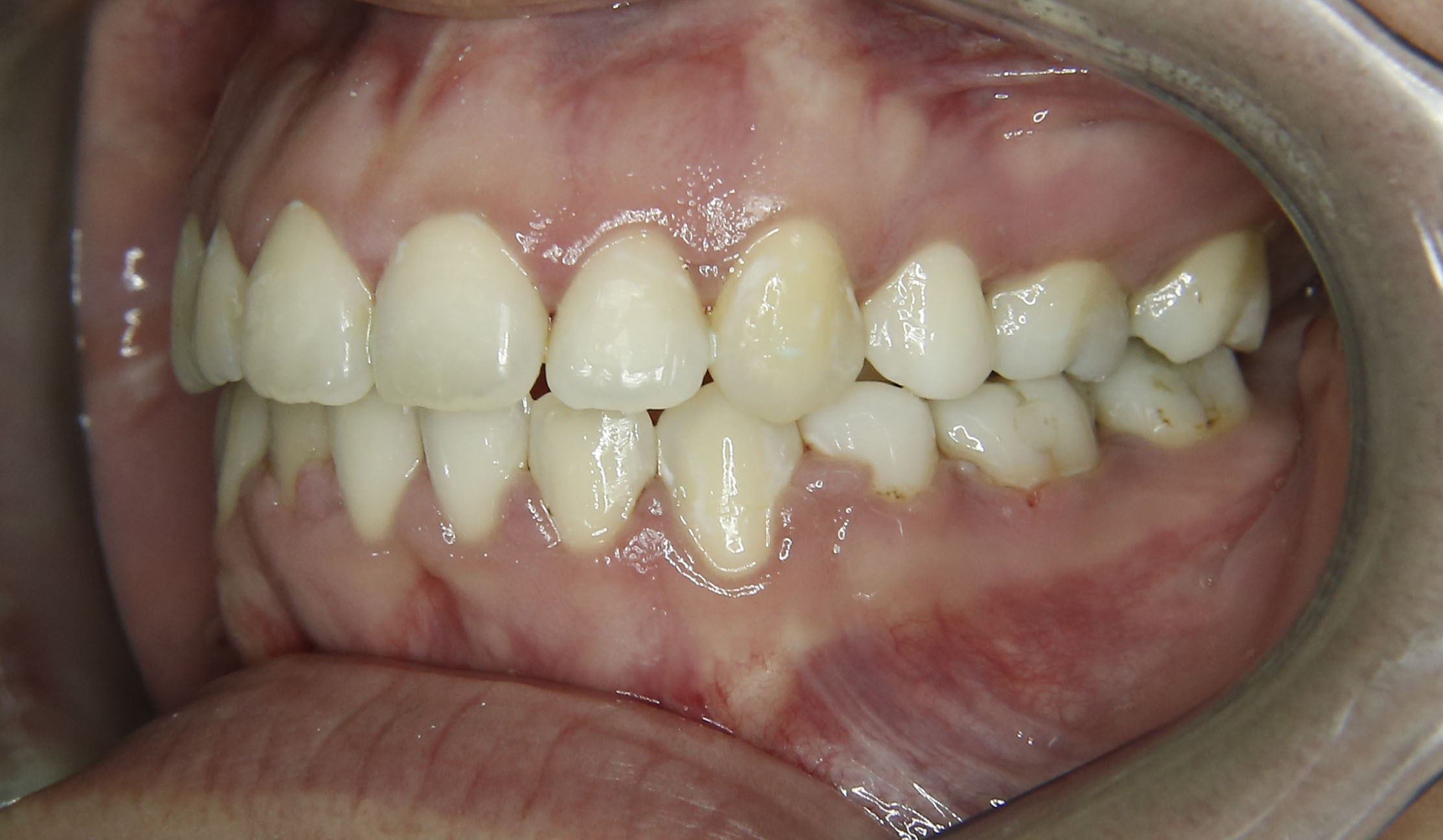
Tratamientos
En Odontología Florida realizamos distintos tratamientos. En este caso, te mostramos un antes y después de ortodoncia, donde con planificación y seguimiento, logramos mejorar la alineación, la estética y la salud de la sonrisa.


Nuestros Profesionales
Sabemos que las visitas al odontólogo no siempre son fáciles; nuestro equipo hace que cada paso sea cómodo, claro y libre de estrés.

Paula Doti
M.P 42831 M.N 26337

Delfina Cozzi
M.P 45984 M.N 45052

Fernando Martinez
M.P 45468 M.N 41550
Historial de pacientes
50+ Reviews en Google




180k+
Pacientes atendidos
Mirá nuestras reseñas en

Odontología Florida








